Introduction
L’imagerie par résonance magnétique (IRM) est un outil de diagnostic médical qui permet d’explorer l’intérieur du corps humain sans recourir aux rayonnements ionisants. Dans certains cas, la visibilité de certaines structures est améliorée grâce à l’injection de produits de contraste. Ces substances modifient la manière dont les tissus apparaissent sur les images et facilitent ainsi la détection d’anomalies comme des tumeurs, des inflammations ou des lésions vasculaires. Comprendre leur rôle, leur composition chimique et les critères de choix de ces produits est essentiel pour en saisir l’intérêt médical.
Rôle et principe des produits de contraste en IRM
En IRM, les images sont obtenues en analysant les signaux émis par les noyaux d’hydrogène (protons), présents surtout dans l’eau et les graisses des tissus. Les produits de contraste, injectés dans l’organisme, modifient localement les propriétés magnétiques des tissus et accentuent la différence de signal entre zones normales et zones pathologiques.
La majorité des agents de contraste en IRM contiennent du gadolinium, un métal paramagnétique. Ce dernier agit en raccourcissant principalement le temps de relaxation T1 des protons, ce qui conduit dans la plupart des séquences IRM à l’apparition d’un hypersignal, c’est-à-dire une zone plus claire sur l’image. L’effet sur le temps de relaxation T2 existe mais reste limité et rarement exploité en pratique clinique. Il est donc important de préciser que l’hypersignal correspond à une intensité plus élevée du signal enregistré par l’appareil, et non à une émission directe par le tissu.
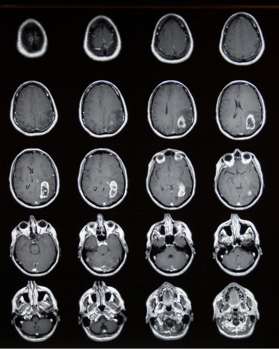
Par exemple, lors d’une IRM cérébrale, une tumeur peut apparaître en hypersignal après injection de gadolinium. Dans une IRM hépatique, le produit de contraste permet de mieux distinguer des métastases hépatiques. En IRM mammaire, il aide à détecter des lésions suspectes lorsque la mammographie est insuffisante. Enfin, en IRM vasculaire, il met en évidence des anévrismes ou des sténoses artérielles, améliorant considérablement la détection des maladies cardiovasculaires.
À retenir
Les produits de contraste agissent en raccourcissant surtout le temps de relaxation T1, ce qui provoque l’apparition d’un hypersignal, c’est-à-dire une zone plus claire sur l’image IRM.
Identification des groupes fonctionnels
Le gadolinium (un métal rare de la famille des terres rares, possédant des propriétés paramagnétiques qui modifient localement le signal en IRM), utilisé en IRM, ne peut pas être injecté sous forme libre car il est hautement toxique pour l’organisme. Pour le rendre utilisable en médecine, il est chélaté, c’est-à-dire emprisonné dans une molécule qui l’empêche d’interagir directement avec les tissus.
Ces chélates possèdent des groupes fonctionnels polaires (amines, hydroxyles, carboxyles) qui assurent leur solubilité dans l’eau et leur diffusion dans les liquides corporels. Les liaisons solides entre le gadolinium et la molécule piège garantissent une bonne stabilité et permettent une élimination rapide par les reins. Cette chélation est donc indispensable : sans elle, le gadolinium serait inutilisable en clinique.
Le choix du produit de contraste dépend également du type de chélate. Les agents macrocycliques, grâce à leur structure fermée et rigide, sont plus stables que les agents linéaires et présentent un meilleur profil de sécurité.
À retenir
Le gadolinium est toxique à l’état libre, mais son emprisonnement dans des chélates stables et solubles permet son utilisation médicale en toute sécurité.Importance de la durée d’élimination.
Importance de la durée d’élimination
La rapidité avec laquelle un produit de contraste est éliminé par les reins est un critère essentiel. Chez la plupart des patients, un produit rapidement éliminé est préféré car il limite le risque d’accumulation et donc d’effets indésirables.
Chez les patients souffrant d’insuffisance rénale sévère, le choix est particulièrement critique. Une complication rare mais grave, appelée fibrose néphrogénique systémique, peut apparaître en cas d’accumulation de gadolinium. Cette maladie se caractérise par une fibrose des tissus, touchant la peau et parfois les organes internes. Pour limiter ce risque, les produits de contraste les plus stables (macrocycliques) sont privilégiés, et leur usage doit être strictement justifié.
À retenir
La durée d’élimination est un critère majeur dans le choix des produits de contraste. En cas d’insuffisance rénale sévère, le risque rare mais grave de fibrose néphrogénique systémique impose une sélection stricte et sécurisée.
Domaine des radiofréquences utilisées en IRM
L’IRM associe un champ magnétique puissant et des ondes radio (radiofréquences) pour exciter les protons et analyser leur signal. La fréquence des ondes utilisées dépend directement de l’intensité du champ magnétique selon la relation de Larmor :
où est la fréquence de résonance, le rapport gyromagnétique du proton et l’intensité du champ magnétique.
Dans les appareils courants fonctionnant à 1,5 tesla, la fréquence de résonance est d’environ 64 MHz ; pour un champ de 3 teslas, elle atteint environ 128 MHz. Ces valeurs concrètes permettent de situer l’ordre de grandeur attendu au programme. Ces ondes radio ne sont pas ionisantes et, aux puissances employées, elles sont considérées comme sans danger pour le patient.
À retenir
La fréquence des ondes radio en IRM est proportionnelle à l’intensité du champ magnétique, conformément à la loi de Larmor : environ 64 MHz à 1,5 T et 128 MHz à 3 T.
Conclusion
Les produits de contraste en IRM améliorent la qualité des images en raccourcissant surtout le temps de relaxation T1, ce qui rend certaines anomalies visibles par l’apparition d’un hypersignal (zone plus claire). Leur efficacité et leur sécurité reposent sur la chélation indispensable du gadolinium, la stabilité du chélate (macrocyclique ou linéaire) et la rapidité d’élimination, particulièrement importante en cas d’insuffisance rénale sévère pour prévenir le risque de fibrose néphrogénique systémique.
Associés à l’utilisation de radiofréquences adaptées, proportionnelles au champ magnétique selon la loi de Larmor, les produits de contraste font de l’IRM un outil performant et sûr pour le diagnostic médical, qu’il s’agisse d’explorer le cerveau, le foie, le sein ou le système vasculaire.

